
INTERVIEW
How to Save Costs by Switching to OrthoView
Since switching to OrthoView as a templating software, Dr. Brett Levine and his team at Elmhurst Hospital in Illinois have been able to save costs in reducing operating room (OR) time, tray sterilization, and tools to bring into the OR. The team has improved their efficiency and almost eliminated X-ray film printing since going digital. This is according to data Dr. Levine has gathered from performing more than 45 planned surgeries per month for the last 12 years. A primary and revision hip and knee reconstruction specialist, Dr. Levine is also an Associate Professor at Rush University Medical Center.
Saving $400 per surgery in sterilization alone
Dr. Levine has analyzed the benefits of using OrthoView for preoperative planning, and found that by using this software, his team has had been able to significantly save on costs.
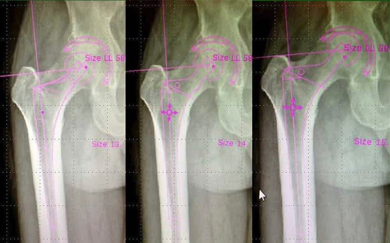
Because he and his team can identify the correct prosthesis size for each patient beforehand, they can reduce OR turnover time and save on the sterilization of up to three or four trays per procedure. This translates to as much as $400* in savings for one procedure for sterilization alone.
Another benefit is the amount the team saves in printing X-rays. According to Dr. Levine, physical films or acetate templates can remain in the drawer if it’s necessary to print at all.
““On average, we estimate $20,000 to $40,000 a year to print each surgeon’s operative radiographs. Eliminating this cost, as well as the time it takes someone to print these X-rays, is another way to reduce one’s overhead.” ”
— Dr. Levine
Efficiency through an improved workflow
Surgeons can very easily template each surgery using the smart planning tools in OrthoView. “Templating with OrthoView is very fast and versatile, and the number of templates available to the surgeon is near limitless,” says Dr. Levine. In addition, the ability to access plans from any device at any time, even in the OR during surgery, is a huge benefit.


Plus, OrthoView helps with team collaboration, with surgical technicians able to review the digital plan and see the components and sizes that Dr. Levine already templated prior to surgery. This helps the technician prepare the back table with the appropriate instruments, helping the entire case to flow more efficiently.
Digitalization in radiology
Efficiency in planning and preparing each surgery can be made easier and more accurate with OrthoView. The template library is accessible online to ensure surgeons always have access to the latest templates. As Dr. Levine says, “There is no sense in trying to fight the digital evolution in the world of radiology. It is better to join in and use a reliable and complete system like OrthoView, which is a solid product that is easy to use and integrate into one’s normal workflow.”
* “Based on an estimated cost of $60-$100 each for the sterile packaging of 3/4 fewer trays.” - Original Case Study by Dr. Levine. Cost savings and improved workflow are achieved with OrthoView.
This content is intended for healthcare professionals only.
Share on:

Meet the author
Dr. Brett Levine Associate Professor at Rush University Medical Center
You might also like
Never miss a story like this. Get curated content delivered straight to your inbox.
