Materialise Mimics inPrint
Du scanner au modèle 3D en toute simplicité
Convertissez rapidement les données d'images médicales (fichiers DICOM) en modèles anatomiques 3D en intégrant de manière transparente Mimics inPrint dans le flux de travail de votre hôpital. Mimics inPrint se connecte à la source d'impression 3D de votre choix et à d'autres applications de visualisation avancées pour vous permettre de créer des modèles 3D qui se révéleront inestimables pour votre équipe multidisciplinaire lors de la planification pré-chirurgicale, de la consultation des patients et de l'enseignement médical.


Pourquoi choisir Mimics inPrint ?
Un logiciel évolutif
Que vous vous lanciez dans l'impression 3D ou que vous développiez vos activités, inPrint répond à vos besoins.
Le soutien d'experts
Créez et développez vos ambitions d'impression 3D en toute confiance, grâce au soutien de notre équipe.
Des processus prédéfinis
Réduisez la courbe d'apprentissage pour la création de modèles anatomiques 3D grâce à notre flux de travail intuitif en cinq étapes conçu pour les radiologues, les chirurgiens et les technologues en imagerie.
Génération fiable de fichiers 3D
Créez des modèles 3D cliniquement utiles, traçables et rentables. Grâce à la génération de fichiers 3D éprouvés et validés, vous minimiserez les échecs d'impression et maximiserez la qualité d'impression.
Une solution dédiée
Modélisez et imprimez avec n'importe quelle technologie d'impression 3D à l'aide du flux de travail de Mimics inPrint dédié aux environnements médicaux.
Intégrable dans votre flux de travail
Profitez de l'intégration complète de Mimics inPrint dans votre plateforme hospitalière existante (PACS) et accélérez votre flux de travail clinique.
Explorer les outils
Documentation complète des résultats de la modélisation
Stockez les résultats de la modélisation sur le PACS de votre hôpital, gardez les dossiers des patients à jour et évitez les problèmes de conformité aux normes de santé.

Segmentation vasculaire plus rapide
Segmentez plus rapidement l'anatomie vasculaire grâce à l'outil dédié à la segmentation des vaisseaux.

Remplissage osseux efficace
Imprimez des composants osseux rapidement et utilisez les matériaux plus efficacement.

Compatible avec d'autres logiciels
Utilisez l'application Materialise qui vous convient pour modéliser et concevoir des composants. Transférez facilement des objets entre Mimics inPrint et la Mimics Innovation Suite.

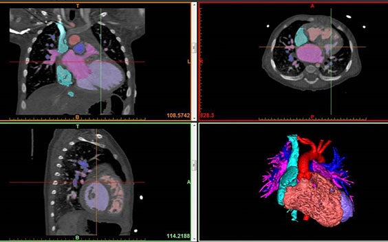
Amélioration de la modélisation cardiaque
Effectuez un reformatage multiplanaire (MPR) pour soutenir le processus de planification et de modélisation 3D.

Intégration avec Siemens syngo.via
Si vous êtes un client Siemens syngo.via, l'utilisation de Mimics inPrint sur OpenApps facilitera une intégration en douceur dans votre routine clinique.

Inspiration
Développez vos compétences grâce au support de Materialise
Découvrez comment démarrer avec Mimics inPrint grâce aux ressources de notre Académie et plus encore.
L-102603-02
Vous aimerez peut-être aussi
Segmentation efficace et précise des images médicales en 3D pour la planification et l'analyse virtuelles.
Identifie les imprimantes et les matériaux compatibles avec Mimics inPrint
Cette plateforme en ligne permet de visualiser et de partager facilement des plans en 3D, des conceptions de dispositifs et des modèles anatomiques.



