Materialise aMace
Implants acétabulaires personnalisés
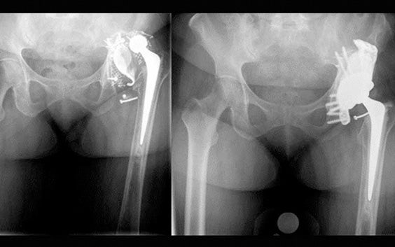
Jusqu'à 27 % des reprises des prothèses de hanche sont des reprises additionnelles dues à une fixation et une reconstruction biomécanique1 sous-optimales. Les reprises additionnelles ont trois fois plus de risques d'échouer par rapport à la première reprise2. L'implant personnalisé aMace est conçu pour mettre fin à cette spirale négative.


Éviter le cycle de reprise
Atteindre une taux de satisfaction des patients de 100 %4
Jusqu'à 83 % des patients ont reporté un impact positif perceptible sur leur mobilité et leurs douleurs au quotidien5.
Compter sur un taux de survie implantaire de 98 %1
Les études de suivi ne rapportent aucun signe de descellement radiologique et aucun cas n'a requis une reprise additionnelle du renforcement aMace9.
S'appuyant sur plus de 12 années d'expérience
Nos ingénieurs cliniciens sont les mieux à même de vous aider à planifier un traitement personnalisé.
Plus de 1 300 cas complexes solutionnés
La majorité des chirurgiens interrogés8 déclarent que la solution aMace a grandement simplifié les cas de reprise de hanche les plus complexes.
Comment nous vous permettons de sortir du cycle de reprise
Des analyses pelviennes en 3D uniques
En s'appuyant sur l'examen de tomodensitométrie segmentée, nos ingénieurs cliniciens expérimentés utilisent une technologie basée sur l'IA pour quantifier la perte osseuse acétabulaire et la masse osseuse disponible en mesurant l'épaisseur de l'os et du cortex sur toute la surface.

Minimiser le risque de luxation
Nos ingénieurs cliniques minimisent le risque de luxation grâce à une planification préopératoire du centre de rotation et des angles d'inclinaison et d'antéversion.

Fixation et stabilité à long terme optimisées
Les implants aMace sont conçus pour optimiser la fixation avec des axes de vissage croisés. Le renfort intégré reproduit les caractéristiques osseuses et est conçu pour améliorer la fixation secondaire lors de la croissance osseuse interne.

Guides de perçage brevetés
Des guides imprimés en 3D innovants vous permettent d'optimiser la fixation primaire en positionnant les vis croisées nécessaires comme indiqué sur le plan préopératoire.

Plate-forme numérique facile d'utilisation
SurgiCase est une plate-forme collaborative tout-en-un accessible en ligne qui vous permet de télécharger des images, de planifier et de collaborer avec des ingénieurs cliniciens. Les utilisateurs peuvent accéder à la plate-forme depuis n'importe quel navigateur Internet.

Preuve clinique
Accédez aux derniers articles à l'appui des preuves cliniques de l'implant de hanche aMace. Pour un aperçu complet, veuillez vous référer au rapport de données cliniques.
L'utilisation d'implants en titane fabriqués sur mesure et imprimés en 3D pour les défauts de Paprosky III montre un bon accord à un an de suivi.
Prothèses cotyloïdiennes personnalisées imprimées en 3D pour les reprises acétabulaires complexes : évaluation du positionnement planifié vs positionnement final et données de migration sur 1 an sur une cohorte de 10 patients (2021)
Good improvement in patient-reported daily functioning, high patient-reported satisfaction, few complications, and no re-revisions for custom triflange acetabular components
Résultats satisfaisants sur un suivi de 2 ans d'un composant acétabulaire triflange personnalisé utilisé dans des cas d'anomalies acétabulaires et de discontinuité pelvienne importants : étude prospective d'une série de 50 cas de prothèses de hanche (2021)
Trouvez l'inspiration
Découvrez comment les autres tirent profit de l'implant personnalisé aMace
Découvrir aMace et obtenir de l'aide
Découvrez comment débuter et voyez comment les plus grands spécialistes utilisent la solution aMace. Si vous êtes déjà un utilisateur, notre support client répondra à toutes vos questions.
Foire aux questions
L-103011-01
Références :
1 Swedish Arthroplasty Register, Annual Report 2014
2 Data UK Joint Registry
3 1/58 at mean follow-up time of 25 months, Baauw et al., 2017, 2015; Citak et al., 2017; Colen et al., 2013; Myncke et al., 2017; Goriainov et al. 2018
4 18/18, Baauw et al., 2017; Colen et al., 2013
5 From a Harris Hip Score of 22/100 pre-op to 59/100 2.5 y post-op – Citak et al., 2017.
6 Goriainov et al. 2018
7 81% (Myncke et al., 2017)
8 73% (16/22, Myncke et al., 2017)
9 N=74, 2 y post-op - Baauw et al., 2017, 2015; Citak et al., 2017; Colen et al., 2013; Myncke et al., 2017; Goriainov et al. 2018
10 Demol et al., 2012
Vous aimerez peut-être aussi
Logiciel de planification orthopédique
Une excellence sans équivalent en matière de correction des déformations osseuses
Lancez et faites évoluer un laboratoire d'impression 3D durable dans votre hôpital en toute confiance


