TENDANCES
6 tendances de l'impression 3D sur le lieu de soins en 2021

En 2020, toutes les industries ont subi des perturbations sans précédent en raison de la pandémie de coronavirus. Nombre d'entre elles ont fait preuve d'une résilience remarquable, notamment le secteur des soins de santé, qui a fait preuve d'héroïsme en dépit de difficultés considérables en matière de capacité, d'approvisionnement et de main-d'œuvre. La pandémie de COVID-19 a mis en évidence sans équivoque la nécessité de repenser et de transformer les soins de santé. Dans le même temps, la crise a révélé le potentiel de technologies innovantes telles que l'impression 3D pour répondre aux besoins critiques. Il n'est donc pas surprenant que l'adoption de l'impression 3D dans les hôpitaux (c.-à-d. l'impression 3D sur le lieu de soins) continue d'augmenter.


Si 2020 a été une année de lutte, 2021 sera, espérons-le, une année de transition vers une approche des soins de santé plus orientée vers l'avenir, où les technologies innovantes sont utilisées à leur plein potentiel.
Voici les tendances les plus importantes à surveiller en 2021 en matière d'impression 3D sur le lieu de soins :
1. Applications de l'impression 3D davantage utilisées dans le secteur des soins de santé
En 2020, les pénuries de matériel de soins de santé essentiel (dues principalement à de longues chaînes d'approvisionnement qui ont été perturbées à plusieurs reprises par la pandémie) ont fait prendre conscience de l'intérêt de disposer de capacités d'impression 3D sur le lieu de soins. Grâce à leur rapidité et à leur polyvalence, les laboratoires 3D peuvent s'adapter facilement et rapidement à l'évolution des circonstances, en réaffectant les ressources selon les besoins, par exemple en passant de l'impression de modèles anatomiques pour la planification chirurgicale à l'impression d'équipements de protection individuelle.
La disponibilité des approvisionnements étant encore imprévisible en 2021, l'impression 3D s'impose comme un allié fiable et sûr face à la fluctuation des chaînes d'approvisionnement. La nécessité, en tant que moteur de l'invention, est susceptible d'élargir l'utilisation des applications de l'impression 3D élargies au secteur des soins de santé.
2. Communication numérique et collaboration à distance
La distanciation sociale étant solidement ancrée dans notre vie quotidienne, de nouveaux moyens de communiquer et de collaborer efficacement deviennent plus nécessaires que jamais. En termes de soins de santé, cette accélération rapide de la numérisation entraînera une augmentation de la demande et de l'offre de télémédecine, c'est-à-dire de diagnostic et de traitement à distance des patients. Les technologies numériques pour la communication entre patient et médecin, entre les médecins, ainsi que la communication entre les médecins et les laboratoires d'impression 3D sur le lieu de soins, deviendront essentielles, et les obstacles à leur adoption généralisée seront beaucoup plus faibles que par le passé.
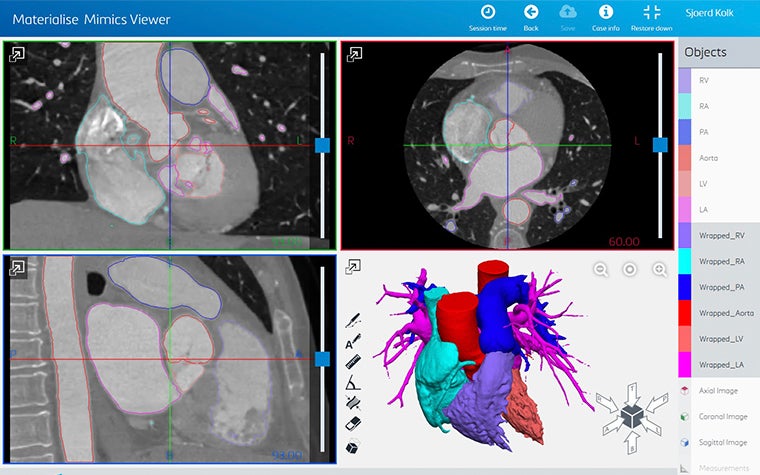
Materialise Mimics Viewer, une plateforme en ligne qui peut être utilisée à la fois sur des ordinateurs de bureau et sur des appareils mobiles pour partager des modèles de patients, des planifications et des conceptions de dispositifs médicaux en 3D, répond à ce besoin de communication numérique et de collaboration plus efficaces. Intuitive tout en offrant de puissantes capacités, la plateforme permet aux médecins de visualiser les cas et de fournir un retour d'information d'une manière claire et conviviale, éliminant ainsi le besoin de se trouver dans le même espace physique que les médecins ou autres ingénieurs.


3. Activités d'impression 3D complétées par la réalité virtuelle et la réalité augmentée
Autrefois réservées aux joueurs de jeux vidéo, les technologies de visualisation avancées telles que la réalité virtuelle et la réalité augmentée gagnent aujourd'hui du terrain et de l'importance dans la pratique clinique, en complément des applications d'impression 3D. Leur potentiel a été amplifié par les progrès des capacités matérielles et la disponibilité d'applications logicielles ciblées. L'accessibilité a également augmenté de façon spectaculaire grâce à des appareils devenus plus abordables. Cela ne manquera pas de stimuler l'adoption de cette technologie, non seulement pour la visualisation de cas cliniques et à des fins de formation, mais aussi pour soutenir le prototypage rapide de dispositifs et peut-être même pour aider les chirurgiens en salle d'opération.
La nature immersive de la visualisation avancée portera la communication et la collaboration à un niveau supérieur. Materialise prend désormais en charge la réalité virtuelle, qui complète l'impression 3D en tant que solution plus rapide et peu coûteuse pour la planification et la collaboration à distance.


4. Importance croissante des systèmes de gestion de la qualité
Retardé d'un an en raison de la COVID-19, le nouveau règlement de l'Union européenne relatif aux dispositifs médicaux (MDR) est pleinement applicable depuis mai 2021. Dans tous les États membres de l'UE, les fabricants d'imprimantes 3D sur le lieu de soins pourront bénéficier de l'exemption prévue par l'article 5 du MDR à plusieurs conditions. Ces conditions comprennent la stipulation que les dispositifs médicaux imprimés ne sont utilisés qu'au sein de l'entité juridique dans laquelle ils ont été créés, et que l'hôpital dispose d'un système de gestion de la qualité (Quality Management System, QMS) approprié.
Aux États-Unis, la législation concernant les fabricants d'imprimantes 3D sur le lieu de soins est vague. Cependant, avec l'adoption croissante de l'impression 3D dans les hôpitaux, le besoin en systèmes de gestion de la qualité augmente.
Chez Materialise, la qualité est au cœur de tout ce que nous faisons. Pour soutenir les installations d'impression 3D sur le lieu de soins dans le monde entier, nous nous appuyons sur notre solide expérience en matière de systèmes de gestion de la qualité acquise au cours des 30 dernières années dans la fabrication de dispositifs médicaux.
5. Intégration plus poussée de l'impression 3D dans le flux de travail clinique
La mise à jour de la norme DICOM pour inclure les fichiers STL et OBJ encapsulés dans DICOM a ouvert la voie à une plus grande intégration de l'impression et de la planification 3D dans le flux de travail clinique. Les fichiers d'impression 3D peuvent désormais être facilement archivés et récupérés dans les systèmes d'archivage et de transmission d'images (PACS) des hôpitaux. Cela offre une meilleure traçabilité, en facilitant la liaison des fichiers d'imagerie 3D avec les dossiers médicaux des patients.
Les fichiers STL encapsulés dans DICOM sont pris en charge dans Mimics Innovation Suite (MIS) 24 et les nouveaux fichiers OBJ encapsulés dans DICOM sont également pris en charge dans MIS 24 depuis mai 2021.
6. Meilleure accessibilité des imprimantes 3D
La technologie de l'impression 3D s'améliore constamment et les fabricants d'imprimantes 3D ne se contentent pas de concentrer leurs efforts sur l'amélioration de la qualité, ils s'efforcent également de rendre leurs machines plus abordables. Par conséquent, les imprimantes 3D de haute qualité et de qualité médicale deviennent plus accessibles.
Les Form 3BL et J55, de Formlabs et Stratasys respectivement, en sont deux excellents exemples. L'imprimante Form 3BL permet l'impression 3D à haut volume avec une intervention minimale. Avec le lancement de la J55, Stratasys rend l'efficacité et la qualité de la technologie PolyJet plus abordable et plus conviviale que jamais, et permet l'impression de couleurs naturelles.
Le caractère de plus en plus abordable des technologies d'impression 3D alimentera l'adoption de l'impression 3D sur le lieu de soins et stimulera le développement de nouvelles applications de soins de santé.
L-101828-01
Partageons :
Vous aimerez peut-être aussi
Ne ratez jamais une histoire comme celle-ci. Recevez-les dans votre boîte de réception une fois par mois.
