Materialise Mimics Enlight CMF
Virtual surgical planning tool for CMF surgeries
Plan orthognathic, reconstructive, or trauma procedures in 3D — all with a single in-house solution. Intuitive and comprehensive, Mimics Enlight CMF gives clinical teams the flexibility, confidence, and control to plan each case efficiently, no matter its complexity.


Benefits
Versatility across indications
Plan more routine or challenging orthognathic, reconstructive, and trauma cases in-house. From Le Fort I to High Le Fort, scapula to fibula grafts, you’ll save time and money, ensure cross-team consistency, and facilitate improved patient outcomes — all in one virtual surgical planning software.
Time-saving automation. Control in your hands.
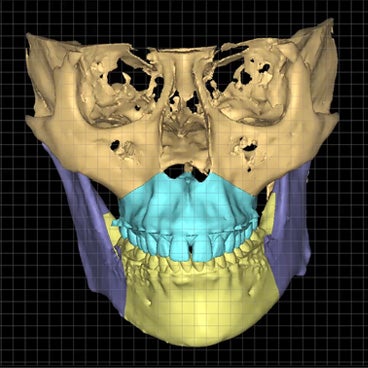
Focus on clinical decisions and reduce repetitive work with smart automation. Automatically segment key anatomical structures, plus automatically indicate cephalometric points and natural head positioning for effortless pre-planning.
Effortless planning in a flexible workflow
Connect your team, data, and decisions with validated software. You’ll experience a flexible workflow that enables you to adapt plans at any stage without starting over, and work with tools shaped by regular clinical feedback and the 10,000+ patients treated each year.
Easy to learn and top-tier support
With an easy learning curve, reduce your workload without compromising on quality. Do you find you need support with the software or a specific case? Our team responds promptly to your inquiries.
Features
Hear from other users
Clinical evidence
Simulations in orthognathic surgery for skull-maxillofacial deformities using CBCT acquisition are reliable.
Facial Soft Tissue Esthetic Predictions: Validation in Craniomaxillofacial Surgery With Cone Beam Computed Tomography Data (2010)
Clinically useful 3D predictions can be obtained with each method compared in the study.
Three-dimensional soft tissue prediction in orthognathic surgery: a clinical comparison of Dolphin, ProPlan CMF, and probabilistic finite element modelling (2018)
Materialise software can provide a realistic, accurate forecast of the patient's facial appearance after surgery.
Validation of new soft tissue software in orthognathic surgery planning (2010)
The computer-aided surgical technique of preoperative 3D planning and preformed plates is a clinically feasible tool for surgeons to improve the treatment of comminuted mandibular fractures.
Clinical evaluation of computer-assisted surgical technique in the treatment of comminuted mandibular fractures. (2015)
Three-dimensional models are valuable for preoperative planning and hardware precontouring in craniofacial surgery.
Cost-Benefit Analysis of Three-Dimensional Craniofacial Models for Midfacial Distraction: A Pilot Study. The Cleft Palate (2016)
Develop your skills with Materialise support
Learn to use Mimics Enlight CMF in different CMF surgeries with expert support and training courses on our digital learning platform.
See what's new in Mimics Enlight CMF 8.0
Introducing new graft sites for reconstruction cases, photomapping for enhanced visualization in orthognathic cases, and a dental splint designer. Save time during pre-planning with automatic segmentation of key anatomical structures, plus the automatic indication of cephalometric points and automatic head positioning. Learn more by watching our 3D planning webinar.
If you already have Mimics Enlight CMF and would like to receive the update, please complete the form below or reach out to your Materialise representative.
Inspiration
L-103144-03
Materialise medical device software may not be available in all markets because product availability is subject to the regulatory and/ or medical practices in individual markets. Please contact your Materialise representative if you have questions about the availability of Materialise medical device software in your area.
You might also like
Materialise’s personalized and off-the-shelf cranio-maxillofacial (CMF) solutions give you the means to deliver outstanding care in routine or complex surgeries.
Diseñe dispositivos personalizados, mallas FEA/CFD y modelos anatómicos 3D basados en los escaneados de sus pacientes.
Visualice y comparta fácilmente planos en 3D, diseños de dispositivos y modelos anatómicos en esta plataforma en línea.









