CUSTOMER STORY
Die Bedeutung des 3D-Drucks für die Planung eines Transkatheter-Mitralklappenersatzes

Das Center for Structural Heart Disease am Henry Ford Hospital in Detroit (USA) ist eines der weltweit führenden Zentren für strukturelle Herzerkrankungen. Dr. Dee Dee Wang, Leiterin der Abteilung Structural Heart Imaging am Henry Ford Hospital und medizinische Leiterin des 3D-Drucklabors am Henry Ford Innovations Institute, war auf dem Materialise World Summit in Brüssel als Sprecherin eingeladen. In ihrem Vortrag erörterte Dr. Wang die Bedeutung der 3D-Technologie für die OP-Planung bei strukturellen Herzerkrankungen - insbesondere beim Transkatheter-Mitralklappenersatz.
Hoffnung für Hochrisikopatienten
Das Henry Ford Hospital’s Center for Structural Heart Disease wendet mit Unterstützung durch das Henry Ford Innovation Institute 3D- und 4D-Bildgebung an - für mehr Patientensicherheit und bessere Ergebnisse bei Operationen von Hochrisikopatienten mit struktureller Herzerkrankung.
Durch diese neue Technologie können Dr. O'Neill und seine Kollegen einen präziseren minimalinvasiven Transkatheter-Mitralklappenersatz vornehmen. Davon profitieren vor allem Patienten, die sich keiner Operation am offenen Herzen unterziehen können. Das Team gibt seinen Patienten Hoffnung und strebt nach dem höchsten Maß an Patientensicherheit.


Die Bedeutung der 3D-Modellierung
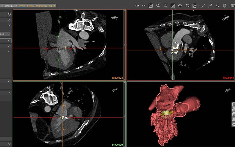
Für Dr. Wang liegt der Wert der 3D-Technologie in der Möglichkeit des computergestützten Designens. Sie erklärt die zwei wichtigen Funktionen der 3D-Modellierung für den Transkatheter-Mitralklappenersatz: Erstens kann per 3D-Druck für jeden Patienten eine passgenaue Klappe hergestellt werden. Zweitens kann durch 3D-Modelle die richtige Position der Klappe ermittelt werden, damit es nicht zu einer Einengung des linksventrikulären Ausflusstraktes kommt.
Der Transkatheter-Mitralklappenersatz gehört zu den schwierigsten und riskantesten Eingriffen in der modernen Medizin. Ohne sorgfältige 3D-Planung ist die Gefahr groß, dass der Patient verletzt wird - möglicherweise sogar tödlich. Wenn eine neu implantierte Klappe den Blutfluss vom linken Ventrikel in die Aorta blockiert, kann es zu lebensgefährlichen Komplikationen für den Patienten kommen. Wird aber schon vor dem Eingriff erkannt, dass die Gefahr einer LVOT-Obstruktion besteht, können Komplikationen verhindert und das Leben des Patienten gerettet werden. Ohne computergestützte 3D- und 4D-Modellierung ist dies jedoch nicht möglich.
Zudem könne das OP-Team mithilfe von 3D-Technologie und 3D-Planung verschiedene Implantat- und Instrumentengrößen, Katheter und Kanäle vor der Operation testen, sagt Dr. Wang. Durch all diese Absicherungen fühlen sich die Operateure sehr viel sicherer bei der Durchführung von Hochrisiko-Operationen.


Mimics Enlight for TMVR
Mimics Enlight is based on the strengths of Materialise’s Mimics Innovation Suite (MIS), which has helped clinicians produce personalized 3D models for more than 20 years. The software was created in collaboration with Henry Ford Health System and Dr. Dee Dee Wang, and leverages the Henry Ford Innovation Institute’s patented workflow. Mimics Enlight supports patient selection and planning for structural heart and vascular therapy. It is the first of its kind to include consistent methods of taking critical measurements. This enables clinicians to reliably plan and screen patients for cardiovascular procedures.


Pioneering new methods for patient safety
During an interview with Materialise, Dr. Wang says that by using 3D planning, they can provide customized care to individuals with personalized and accurate 3D models using Mimics Innovation Suite and Mimics Enlight. This enables them to pursue their passion in pioneering new methods while exercising the utmost patient safety.
Mimics Enlight, with specific structural heart workflows, gives Dr. Wang accurate 3D models for consistency in taking measurements like neo-LVOT to screen patients for TMVR therapy, plan procedures, and determine the appropriate size and positioning of
TMVR devices. Dr. Wang explains their process, “In doing this we can model how and where we put the valve in our patient. So, while they’re at home watching their TV before they come to us, we take their CT scan, implant the valve at various positions, find out what valve size we’re going to use, and figure out what it’s going to be. We calculate the baseline LVOT surface area, what blood flow they live with. And then once we model a valve inside, we see what remainder of the LVOT they have left. And we can provide a cut-off.” The impact, she says, is a patient's life is saved.
L-101721-01
Teilen auf:
Das könnte Sie auch interessieren
Verpassen Sie nie wieder eine Story wie diese. Sie erhalten sie einmal im Monat in Ihren Posteingang.
